|
|
|
|
|
|
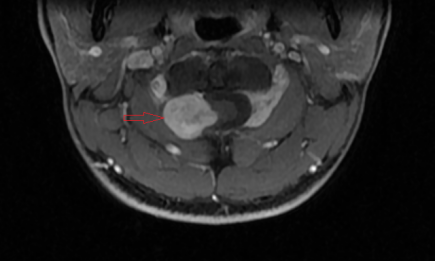
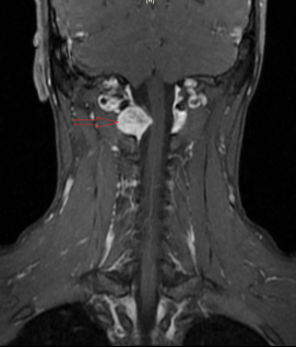
近期,富顺县中医医院脑病科成功为一名脊髓硬膜外神经鞘瘤患者进行手术治疗,为患者解除了长期的病痛折磨。该患者在2年前无诱因出现阵发性双手、双小腿麻木、乏力,偶伴头晕、黑矇等症状,在我院接受颅脑磁共振检查后发现其颈1-2水平脊髓外异常占位,考虑神经鞘瘤(图中红色箭头标注)。


我院脑病科主任何飞考虑到保守治疗只能暂时缓解患者乏力、麻木等症状,患者神经病变可能继续加重,经过脑病科团队反复讨论,制定了缜密的手术方案,在经过患者及家属的知情同意后,决定为患者施行手术切除。
最终,在全麻下进行脊髓硬膜外病变切除术+神经根探查术,手术耗费一个半小时顺利完成。术后患者恢复良好,肢体麻木、乏力等症状明显好转。

神经鞘瘤是来自神经鞘细胞的良性肿瘤,好发于30-50岁中年人。该肿瘤来自不同部位可产生不同程度的神经症状,其中椎管内神经鞘瘤临床多以肩背部、腰骶部、肢体放射性疼痛,或肢体麻木、乏力、跛行等神经症状;而椎管外神经鞘瘤疼痛、麻木、乏力等神经症状不明显,有时可在体表扪及肿块,不同角度叩击肿块可有神经支配区麻、痛症状。
神经鞘瘤生长缓慢,患者通常无自觉症状,随着肿瘤逐渐增大累及神经,可出现疼痛、麻木,相应部位肌力减退致乏力、跛行等运动障碍,出现此类症状应立即就医,该病的唯一有效治疗方式为手术治疗。
神经鞘瘤多为良性肿瘤,肿瘤有完整包膜,单纯彻底切除困难不大、预后良好,复发几率较低,少有恶变。但颈部神经鞘瘤侵犯范围广,手术困难、时间长,可引起面神经麻痹出现暂时或永久面瘫,需积极康复、护理。