欢迎访问三级乙等中医医院-华人策略平台
三级乙等中医医院
西南医科大学附属中医医院富顺分院
全国诚信医院
自贡市公立医院党建示范单位
网站首页 >> 科研教学 >> 新技术新业务

奇迹!大面积脑梗昏迷病人再度苏醒

时间:2024-08-22 作者: 来源:脑病科 浏览量:3580
“我家老头子能醒过来,就是个奇迹!真不知道怎么感谢你们……”患者家属说道。

患者范大爷在深度昏迷被成都某医院确定“回天乏术”后,经我院治疗奇迹般苏醒,家属向我院脑病科医护人员送上锦旗表达由衷的感谢。
图片
病人家属向脑病·胸外科医护团队送上锦旗
2024年6月13日,范大爷突发意识模糊、右侧肢体无力,立即到成都某医院就医,诊断为大面积脑梗死。经过7天的治疗,病人意识仍呈昏迷状,伴有肺部感染、重度贫血、营养不良,死亡风险高,预后极差,渡过重重难关也极有可能意识不能恢复。家属于2024年6月20日在成都办理出院后带病人于我院就诊,准备伴范大爷走完生命的最后一段旅程。

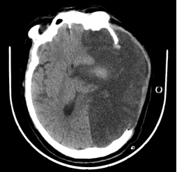
图片

入院时颅脑CT

范大爷入院时呈浅昏迷状,呼之不应,气管切开状态,脑病科何飞主任凭借其精湛的医术和丰富的经验,对范大爷的病情进行了全面细致的评估,组织科室医务人员制定了个性化的中西医结合治疗方案。经过脑病科医务人员精心治疗,范大爷于 2024 年 06 月 24 日神志恢复,偶有嗜睡但可遵嘱活动。
而后我院心内科、血液病科、脾胃科、肺病科、药剂科、检验科等多科会诊讨论修订治疗方案,采取营养支持、肢体康复治疗等措施,为患者制定了专科护理计划,实施精准治疗加上专业护理。
图片
出院前颅脑CT

在医护人员和家属的精心照顾下,“奇迹”终于发生了。

病人颅内水肿逐渐消退,精神状态好转,开始对声音、光线等刺激产生反应并逐渐灵敏,醒来后可以清晰地分辨出家人并叫出他们的名字,一家人喜极而泣!现在病人能自己吃饭、说话,可以与他人交流,四肢也可以活动了,可在一人帮助下下床行走各项指标恢复正常,贫血、营养不良、肺部感染、睡眠紊乱显著改善,逐步拔除胃管、气管套管、尿管。

于2024年07月25日转入我院康复科进行中医康复治疗。

图片

病人积极开展康复训练


华人策略平台富达路院区
地址:四川省自贡市富顺县富世街道富达路120号
电话:0813-7168375(工作日上午8点到12点,下午2点30到5点30)
我院同心院区
地址:富顺县东湖大道1801号
电话:0813-7168375(工作日上午8点到12点,下午2点30到5点30)
手机官网
微信公众号
Copyright© 2012-2024 华人策略平台 All Rights Reserved 备案号:蜀ICP备18011979号-1